Dentista Roma
Curare la Parodontite

cura Stomatite aftosa dentista roma

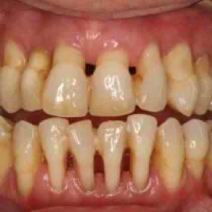
La Parodontite è il termine corretto per definire la malattia del Parodonto, ovvero il tessuto di sostegno del dente che è formato da: gengiva, cemento radicolare, legamento parodontale ed osso alveolare. Altri termini usati comunemente per identificare questa patologia sono: Paradontite (termine medico), Piorrea (termine popolare), Periodontite (termine medico) e Paradontopatia (termine medico). L'inizio della malattia è sempre dovuto alla presenza di batteri che infettano i tessuti paradontali e ne provocano l'infiammazione.

La sua diffusione nell'età avanzata è piuttosto elevata. Si calcola che tre persone su quattro della popolazione Italiana oltre i 65 anni ne siano affetti. Purtroppo, anche le fasce di popolazione ben più giovane non ne sono esenti e l'insorgenza si verifica già dopo i 30 anni. Quindi, se ne soffrite, non avete nulla di cui vergognarvi, siete in buona compagnia.

La Parodontite è una patologia da non sottovalutare perchè la distruzione del Parodonto è irreversibile in natura, e per essere curato è necessario ricorrere ad importanti cure odontoiatriche. L'inizio di questa patologia, se trascurata, può portare, nei casi più gravi, alla perdita di tutti i denti.

Per avere una rapida ed efficace guarigione è fondamentale intervenire all'insorgenza dei primi sintomi.

 

Attenzione. La Paradontopatia al suo stadio iniziale (Paradontite lieve) è asintomatica, non si percepiscono dolore od altre sensazioni utili a percepire che abbiamo un problema.

Solo in una seconda fase, Paradontite leggera, inizieremo a percepire i sintomi:

  • Alitosi;
  • Sanguinamento delle gengive durante lo spazzolamento dei denti;
  • Cambiamenti di tono e di colore delle gengive o di parte delle stesse;
  • Gonfiore gengivale;
  • Diffusa, ma non marcata sensibilità a cibi e bevande: calde, fredde, acide o dolci

Quando uno o più di questi sintomi sono presenti è necessario attivarsi per fare una visita dentistica di controllo per avere il parere di un professionista e scongiurare ulteriori complicazioni.

Se lasciamo la malattia Parodontale evolvere verso lo stadio moderato o grave (Paradontite acuta), oppure rendendola cronica ci troveremo a fronteggiare altri e più importanti sintomi:

  • Alitosi piuttosto marcata o grave;
  • Sanguinamento delle gengive più copioso o grave;
  • Recessione delle gengive, fino alla esposizione dei denti;
  • Mobilità dentale, precedentemente non presente;
  • Sensazione di fastidio e Dolore sempre più marcato

Se siete arrivati anche ad uno solo di qusti sintomi dovete rivolgervi immediatamente al dentista!

Vediamo ora perchè si è arrivati a questo problema, per meglio comprendere cosa è successo e poi passare a gestire al meglio questa patologia. Le cause vanno ricercate principalmente nella corretta attuazione delle attività di:

  • Prevenzione. Andare a fare la visita periodica è noioso e costoso secondo la percezione di molti. Però impedisce ad un problema di diventare più grave e più oneroso, se lo si lascia peggiorare. Quindi andate a fare la visita periodica dal dentista almeno ogni sei mesi o quando percepite un sintomo che in precedenza non avevate. La visita periodica nel nostro studio di Roma è gratuita.
  • Igiene orale. Placca e Tartaro diventano una barriera impenetrabile per le operazioni di normale igiene orale che possiamo effettuare autonomamente. Costituiscono una barriera impenetrabile a spazzolini, dentifrici, colluttori e filo interdentale dietro cui i batteri si annidano e prolificano indisturbati. La colonizzazione batterica si aggrava con il tempo e porta prima alla infiammazione e recessione delle gengive, dovuta all'infezione, e poi degenera nelle cosidette tasche parodontali. Arrivati a questo punto, l'infezione batterica ed il relativo stato infiammario stanno provocando danni serissimi che possono portare alla distruzione dei tessuti Parodontali, anche quelli adibiti alla rigenerazione del tessuto osseo a cui sono vincolati i denti.

La paradontite è guaribile completamente solo se curata precocemente. L'intervento tardivo comporta spesso difficoltà di recupero e può necessitare addirittura di terapie di rigenerazione dell'osso. Per questo motivo l'obiettivo principale della cura definitiva della Parodontite è quello di arrestare immediatamente la malattia e di evitare il suo ritorno. La terapia viene sempre attuata tenendo conto del grado di gravità riscontrato. Di seguito elenchiamo sinteticamente alcune delle procedure terapeutiche che verranno applicate.

Per la parodontite lieve:

  • Seduta di pulizia dei denti professionale con ablazione del tartaro profonda comprensivo di curettage gengivale, levigatura delle radici, motivazione all'igiene orale, comprensione ed esecuzione delle metodiche corrette di prevenzione;
  • Indicazione di acquisto e motivazione all'utilizzo dello spazzolino elettrico, molto più efficace rispetto a quello manuale;
  • Prescrizione di dentifricio specifico per la Parodontite ed informativa sull'utilizzo giornaliero;
  • Prescrizione di colluttorio specifico per la Parodontite ed informativa sull'utilizzo giornaliero;
  • Prescrizione di filo interdentale ed informativa sull'utilizzo giornaliero;

Nei casi di Paradontite acuta, aggressiva o grave:

  • Prescrizione di Gel e/o colluttori contenenti Clorexidrina ed informativa sull'utilizzo giornaliero;
  • Prescrizione di Antibiotici specifici per Parodontite ed informativa sull'utilizzo giornaliero;
  • Innesto di tessuto molle. Aiuta a rigenerare le gengive danneggiate dall'infezione parodontale permettendo una rigenerazione completa della gengiva;
  • Intervento chirurgico specifico. Si interviene incidendo le tasche parodontali per rimuovere il tessuto infetto, il tartaro attaccato alla radice del dente e per medicare le superfici esposte;
  • Intervento chirurgico di rigenerazione ossea. In presenza di degenerazione ossea grave e conclamata mobilità dei denti viene inserito un materiale biocompatibile che stimola la rigenerazione ossea. Grazie a questo intervento i denti torneranno stabili e si eviteranno le relative estrazioni ed impianti.

Quando queste terapie non vengono praticate, con il passare del tempo, il paziente perderà i denti naturali e si dovrà ricorrere ad estrazione, implantologia e protesi.

È consigliabile adottare alcuni comportamenti fin dall'insorgenza dei primi sintomi di Periodontite:

  • Evitare alimenti acidi quali agrumi, pomodori e aceto, alcool, cioccolato, caffè e cibi piccanti;
  • Ridurre, o meglio, eliminare completamente il fumo;
  • Moderare, ed eventualmente, eliminare completamente l'alcool;
  • Effettuare visite odontoiatriche di controllo regolari e frequenti;
  • Effettuare frequentemente(al massimo ogni 3/4 mesi) sedute di ablazione del tartaro professionale;
  • Utilizzare scrupolosamente lo spazzolino elettrico, un dentifricio specifico ed il filo interdentale dopo ogni pasto;
  • Attenersi ad una alimentazione corretta, consumando molte porzioni di frutta e verdura quotidianamente poichè forniscono un apporto costante di micronutrienti utili a stimolare le difese immunitarie;
  • Evitare cibi eccessivamente croccanti o duri;
  • Evitare interventi odontoiatrici sbagliati. Affidatevi sempre ad un dentista professionista, iscritto all'albo, che abbia esperienza specifica nel trattamento della Parodontite;
  • Tenere sotto controllo medico il Diabete, se presente;

Durante i trattamenti odontoiatrici i nostri odontoiatri utilizzano spray desensibilizzanti ed anestetici locali per eliminare completamente la sensazione di fastidio e di dolore.

Al di fuori della terapia odontoiatrica la presenza di dolore in qualsiasi parte del cavo orale è il segnale di allarme che ci indica che qualcosa non va. Bisogna rivolgersi al dentista chiedendo una visita di controllo urgente che permetta di conoscere l'origine del problema e di attuare tempestivamente le relative terapie.

Ovviamente non esiste una alternativa naturale all'ablazione del tartaro con ultrasuoni, agli antibiotici ed alla chirurgia.

Però alcuni rimedi naturali possono aiutarci:

  • Sciacqui con un bicchiere di acqua contenente 2/3 cucchiaini di sale o, in alternativa bicarbonato, almeno tre volte al giorno;
  • Integratori di Vitamina D in dosaggio tra i 400 ed i 1000 Ui;
  • Coenzima Q10 in dose di 30mg/giornalieri stimola il funzionamento del sistema immunitario;
  • Olio di cocco spremuto a freddo da applicare sulle gengive infiammate con un batuffolo di cotone o per fare gli sciacqui. Le sue proprietà battericide ridurranno la carica batterica;
  • Lasciare una fetta di aglio a contatto con le gengive infiammate per almeno 5 minuti dopo i pasti. L'aglio è un antibiotico naturale e riduce la carica batterica;
  • Il fungo cinese Cordyceps risulta essere un efficace immunostimolante naturale. Una capsula da almeno 600mg la mattina;
  • L'arnica montana e L'Aloe risultano piuttosto utili per le proprietà antinfiammatorie ed analgesiche: in dose unica, in tintura per sciacqui, in gel per uso topico

  La cura per la Parodontite non ha una durata predefinita e varia con la collaborazione e la risposta del paziente alle cure effettuate. Sicuramente richiede più sedute di durata variabile ed almeno due/tre visite di controllo.

  Il costo per la cura della Parodontite è variabile in funzione della complessità del caso. Per avere un preventivo potete prenotare un appuntamento per effettuare una visita di controllo nel nostro studio di Roma.

Nella pagina dedicata alle promozioni potete consultare le offerte in corso presso il nostro Studio Dentistico a Roma con prezzi di sicuro interesse.

È possibile rateizzare il pagamento in 20 mesi a tasso zero (TAN 0%, TAEG 0%) per l'importo massimo di 8.000€ semplicemente utilizzando la vostra tessera Bancomat o Postamat. Non serve busta paga. Approvazione immediata. Nessuna spesa di gestione.

come raggiungerci

Come Raggiungerci

Contatti

Contatti

Promozioni

Offerte

studio dentistico

Studio dentistico

dentista roma dottoressa deborah nicosia
Autrice dell'articolo "Curare la Parodontite" è la Dottoressa Deborah Nicosia, Dentista Roma.

Le informazioni presenti nelle pagine del sito Dentista Roma hanno finalità meramente informative e non intendono in alcun caso formulare diagnosi né intendono prescrivere un qualsiasi trattamento medico od odontoiatrico. Lo scopo del sito è quello di incoraggiare, assolutamente non sostituire, le normali e necessarie relazioni tra medico e paziente. Dentista Roma e gli autori degli articoli non rispondono di eventuali danni lamentati dagli utenti per informazioni, contenuti, omissioni od inesattezze che possono essere presenti nelle pagine del sito. Non ci si assume alcuna responsabilità relativamente ad un cattivo uso che gli utenti potrebbero fare delle indicazioni contenute nel sito stesso. Le informazioni personali riguardanti i pazienti ed i visitatori del sito dello studio dentistico a Roma, compresa l'identità, sono confidenziali. Il responsabile del sito s'impegna a rispettare la confidenzialità di tutte le informazioni fornite nel completo rispetto delle leggi Italiane ed europee vigenti. Il contenuto di questo sito è protetto da diritto di autore e non può essere copiato, riprodotto od utilizzato in qualsiasi forma senza la preventiva autorizzazione scritta da parte dei proprietari di questo sito. Tutti i marchi registrati ed i relativi diritti di sfruttamento appartengono ai rispettivi proprietari.